Dental Implants
Life is harder with missing teeth. If you are looking for a lasting solution, dental implants can truly change your life.
Whether you are missing a single tooth or many, explore the benefits of dental implants in Kansas City, MO, with Dr. John Goodman.

Dental Implants Are Revolutionary A Long-Lasting Solution to Tooth Loss
"The implant has just completely revolutionized what we do," says dentist John Goodman. "You can chew with it, you can floss it. You brush it and treat it just like any other tooth that you have. It can last your lifetime."
Watch the video for more insights:
Choose Dental Implants With John P. Goodman, DDS Take the First Step Today
Dr. John Goodman is a dentist in Kansas City, MO, who has provided the community with expert dental care for more than 25 years. As a dentist who always recommends the best available care for his patients, he often advises that patients with missing teeth undergo dental implant treatment.
Dr. Goodman coordinates with renowned oral surgeons in Kansas City to expertly provide dental implants. His many years of experience have allowed him to form strong familiarity with the area's best surgeons and communicate effectively with them throughout the treatment process.
Patient-focused dental care is a pillar of Dr. Goodman's practice. He makes a point of being available to his patients during every stage of implant treatment to create a relationship built on trust so that he can help patients maintain their implants for years to come.
If you are tired of living with missing teeth or slipping dentures, request a consultation with Dr. Goodman today. He can review your case and honestly recommend whether dental implants are the best option for you. If you have questions, leave us a message or call us at:
(816) 842-8585

We Care About Your Comfort, Safety, and Lasting Health FIVE-STAR REVIEWS From Kansas City, MO, Patients
I have the biggest fear of going to the dentist. I have it. However, Dr.Goodman and the hygienist Tina are helping me overcome my fear. Everyone here is very nice. I can tell they genuinely care about my health.
View on GoogleI can't say enough good things about Dr. Goodman and the team! They always make me feel welcomed and appreciated as a patient.
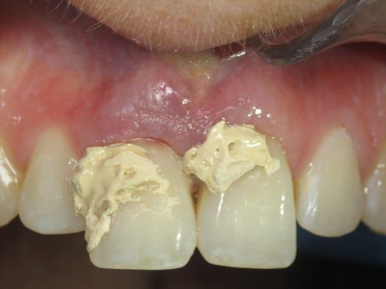
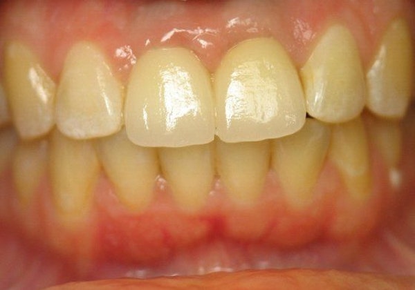
View on GooglePatient Before and After Photos See the Difference Dental Implants Can Make
Why Choose Us? "We give Kansas City a reason to smile"
In practice for more than 25 years, Dr. Goodman has the experience and dental training to achieve optimum outcomes for his patients needing dental implants. He balances cutting-edge technology and techniques with proven methods to ensure a functional and beautiful smile for years to come.
His practice philosophy is summed up in one simple sentence: "We give Kansas City a reason to smile."
Experience & Training
Implant dentistry is a complex process that requires extensive experience and training to achieve reliable outcomes. Dr. Goodman has more than 25 years of dental experience and stays current with the latest advancements in the field and hands-on training programs to better serve his patients throughout the Kansas City area.
High Patient Satisfaction Rate
With an average rating of 4.9 stars, patients are vocal in their appreciation of Dr. Goodman's exceptional work and friendly office.
Flexible Financing
In addition to working with your insurer so you get every available benefit, we offer financing plans through CareCredit® so as many people as possible can get the dental care they need.
The Cost of Dental Implants

At our dental office in Kansas City, MO, a single-tooth implant replacement can cost between $3,500 and $4,500. An All-on-4 procedure to replace a full arch could cost between $25,000 and $40,000. Your final costs will also be influenced by how many teeth you are replacing and whether you require preparatory dentistry as part of your treatment plan.
Dental implants fall under the category of restorative dentistry, but dental insurance tends to handle them uniquely. You will likely receive some level of coverage for your implant-supported restorations, but implants themselves are not typically covered.
Although it can seem like a high price to pay, the expert dental care provided by Dr. Goodman and his oral surgeon partners can produce results that last a lifetime. Traditional dentures or bridges may be cheaper initially, but they do not last as long as implants, do not maintain jawbone strength, and are not as secure.
Dr. Goodman and his team will work with you to make your treatment as affordable as possible. We can coordinate with your insurance provider to ensure you are accessing every available benefit of your plan, and we offer financing plans through CareCredit® that can allow you to split out-of-pocket expenses into manageable monthly installments.
Precise Dental Implant Placement FOR OPTIMUM RESULTS & LONGEVITY
We work with an implant team at the oral surgeon's office that uses the latest in cone-beam digital scanning to plan the precise placement of each implant for optimum results and longevity. Our cutting-edge techniques and proven methods put the smile of your dreams safely within reach at our state-of-the-art facility. Start your journey to better dental health by calling our Kansas City, MO, office and setting up a complimentary consultation with our dentist:
(816) 842-8585
A Kansas City Patient Shares His Story
"Dr. Goodman is excellent and everybody who works there is so nice. Complete smile transformation for me. Life changing." Andrew Hunt
Lifestyle and Health Conditions Can Affect Your Candidacy
Your health and lifestyle choices can affect whether you can be considered a candidate for dental implants. If you are considering implants, the first step is requesting a consultation with Dr. Goodman so the two of you can go over your medical history, concerns, and treatment goals. You will also want to let the doctor know what medications you take.
It's important to be upfront about health issues because they can affect how successful dental implants will be for you. For example, if you have undergone radiation therapy for head or neck cancer, that can slightly increase the risk of implant failure.
However, even if you are not a prime candidate for implants now, dental treatments are available that can help you qualify for implants.

Find Out If Dental Implants Are Right for You We Can Evaluate Your Candidacy for Implants
Even if you have experienced bone loss or currently have gum disease, our team can address these problems so you can get dental implants in the future. To learn more about your treatment options and your candidacy for dental implants, contact our Kansas City dental office today.
(816) 842-8585
Our Team Is Here to Make You Feel at Home More 5-Star Kansas City Dental Patient Reviews
Great Dentist and team! They all make you feel very welcome and comfortable.
View on GoogleMoved here from Chicago and very happy Dr. Goodman was the first dentist I saw here in KC. The staff was super friendly, communicated well, and didn’t try to upsell or do any unnecessary work. I really felt like the center of care
View on GoogleSee How a Dental Implant Is Placed Into the Jawbone Take a Closer Look at the Dental Implant Process
Treatments You May Need Before Getting Dental Implants
If you suffer from gum disease or are lacking in jawbone strength, you may require some preparatory treatments for optimum implant longevity.

Treating Dental Health Problems
If you have periodontal disease, the gum tissue inflammation must be treated before placing dental implants. This reduces the risk of implant failure following oral surgery. We may also perform tooth extractions on any remaining teeth that are decayed or compromised to accommodate an implant-supported restoration.
Bone Grafting for Jawbone Atrophy
If you lack sufficient jawbone density due to bone loss, hard tissue grafts can be placed to build up your bone structure. This provides a stable base that can support a dental implant or multiple implants. We can discuss the bone graft process and the surgical recovery times with you in more detail during a consultation.
Dental Implant Treatment Timeline What to Expect During the Implant Dentistry Process
If you think dental implants could be the right treatment for you, your treatment plan at our Kansas City practice will roughly follow the timeline below.
We've helped many tooth loss patients in and around Kansas City by placing dental implants.
Start Your Dental Implant Journey Contact Our Kansas City Office About Implant Dentistry
Whether you're ready for implants now or require hard tissue grafts to address bone loss in the jaw, our team is here to help. We can take X-rays, assess your candidacy, and let you know what happens next as part of the consultation process. Set up a complimentary visit to find out more about dental implants. Contact our Kansas City dental office today.
(816) 842-8585
Great Results and Amazing Experiences Another Review from a Kansas City Dental Patient
"I love everything about him and his staff! They are simply amazing!" Tammy Ash
Implant Placement Recovery
Dr. Goodman will provide all implant patients with detailed instructions on post-surgical recovery. Some generally do's and don'ts while healing from dental implant surgery include:
- Avoid touching or disturbing the soft tissue around the implant for the first 24 hours after surgery
- Use a cold compress against your lips or face to soothe any discomfort or swelling
- If needed, take over-the-counter pain relievers as directed for your pain
- Avoid using a drinking straw until instructed as the suction can affect the clotting of the surgical site
- Eat soft, lukewarm foods and be sure to chew on the opposite side of your mouth if possible
If you notice any excessive bleeding or develop a fever as you are healing from oral surgery, be sure to contact us right away so we can address these issues accordingly.

Looking to Address More Than Just Missing Teeth? Consider Full Mouth Reconstruction With Dr. Goodman
If you have missing teeth but also want to treat other dental issues that affect the form and function of your smile, like decay, damaged teeth, or gum disease, full mouth reconstruction may be right for you.
Full mouth reconstruction is a customized treatment plan that combines multiple restorative dentistry procedures. You'll work with Dr. Goodman to create your plan, which will be fully customized to your unique needs. We offer a full range of restorative dentistry services that can help you meet your smile goals, including lifelike restorations, orthodontics, and periodontal care.
Ready to speak with our dentist about your options? Getting in touch is easy. Send our team in Kansas City an online message or call us at:
(816) 842-8585

We Help the People of Kansas City Smile
I saw Dr. Goodman today and love the work he did for me. His bedside manner is amazing and his staff is wonderful. I felt the care I received was very affordable as well. I will definitely be back and cannot say enough wonderful things about my experience today.
View on GoogleDr. Goodman and his staff were honestly incredible. I’ve never been to a dentist that’s taken his time to talk me through recommendations, and had the best interest of the client in mind. I would absolutely recommend him! Probably the best dental experience I’ve ever had.
View on GoogleFrequently Asked Questions About Dental Implants
Q. Is dental implant surgery painful?
While dental implant surgery may sound intimidating, we make the process comfortable by offering sedation. Thanks to sedation, dental implant surgery is virtually painless. You may feel some discomfort as you heal, as this is a surgical process. Dr. Goodman may prescribe pain medication or advise you to take over-the-counter pain medication when discomfort arises during the healing process.
Q. What preparatory procedures do you perform?
To qualify for dental implants, you need adequate bone density in your jaw. We can coordinate bone grafting and sinus lift procedures to help you qualify for dental implant treatment.
Q. Why are dental implants made with titanium?
Titanium is the most commonly used material to craft dental implants and the material of choice for our Kansas City dental office. Titanium is biocompatible with the body, meaning it's not likely to cause harm to your surrounding tissue. It's also a metal that is strongly resistant to corrosion, which adds to its long lifespan.
Q. Will I have to go without teeth while my implants heal?
Dr. Goodman can place temporary restorations at our practice immediately after your dental implant surgery. These temporary restorations allow you to enjoy a complete set of teeth while your permanent restoration is crafted.
Another Patient Shares Her Experience Patients Recommend Our High-Quality General, Restorative, and Cosmetic Dentistry in Kansas City, MO
"I felt nothing but positive energy here. Very professional. I would definitely recommend John P. Goodman to family and friends!" Ele Rit









