Veneers

If cosmetic dental flaws affect your front teeth, you may be searching for ways to improve your smile. Porcelain veneers are thin shells of high-quality ceramic that mask cosmetic flaws in as few as two dental appointments.

Learn more about how Dr. John Goodman can enhance your smile with veneers at our Kansas City, MO, practice.

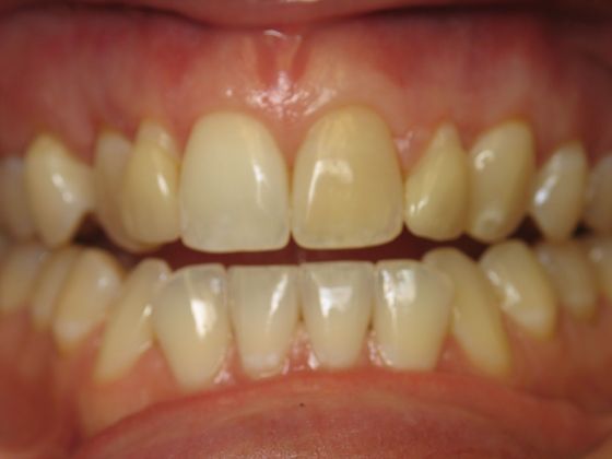
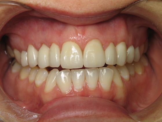
Check Out Kelly's Transformation

Dr. John Goodman's patient before veneers
Before Porcelain Veneers
Dr. John Goodman's patient after veneers
After Porcelain Veneers

Ready for a Beautiful Smile? Contact Our Practice to Request a Consultation

Dr. John Goodman has been providing the Kansas City, MO, community with a comprehensive range of dental services since 1994. He has placed dental veneers for many patients and works with a high-end dental laboratory with talented laboratory technicians.

If you are considering porcelain veneers, please contact us online or call our dental office in Kansas City, MO, to request a consultation.

(816) 842-8585
 

Dr. Goodman
"Dr. Goodman is the best dentist in town. He is awesome, gentle, honest and a tremendous person. Dr. Goodman goes above and beyond your expectations. He's extremely knowledgeable, polite and an artist for lack of a better word. I get compliments everywhere I go on my new smile. Because of the smile he gave me, I even have people ask me if I am a Dentist! He has transformed my mouth in no time at all. With my new Veneers he was super helpful, knowledgeable and explained everything... You have given me so much more of a reason to smile." Susan Nessari

How Much Do Porcelain Veneers Cost?

At our practice, patients can expect to pay $1,650 per tooth treated with a veneer. With Dr. Goodman's skill and our dental lab's exemplary work, patients can achieve attractive, natural-looking results.

Are You a Candidate for Treatment?

Smiling veneers patient

In addition to cosmetic issues affecting the appearance of the smile, good candidates for this procedure should meet the following requirements:

Good Oral Health

In order to receive porcelain veneers or undergo any cosmetic dentistry treatment, you must be in good oral health. Patients who don't brush or floss regularly are more likely to have dental health problems that can undermine the results of any cosmetic treatment. Our dentist offers a wide range of dentistry procedures to ensure your smile is healthy as well as aesthetically pleasing. 

Sufficient Enamel

In addition, patients seeking traditional porcelain veneers need to have a sufficient amount of healthy enamel, as Dr. Goodman typically needs to remove a thin layer before placing veneers. When the dental veneer is bonded to the tooth, this ensures that the porcelain prosthetic is not too bulky and sits flush with surrounding teeth.

No Bruxism

Bruxism is a condition in which patients grind their teeth or clench their jaw regularly, often while they sleep. Although we use strong dental porcelain to fabricate veneers, they are not unbreakable. Unfortunately, the consistent forces of grinding or clenching can cause veneers to break or come loose. For some patients, Dr. Goodman can treat the underlying cause of bruxism so that you can receive veneers that will last. 

Receiving Your Porcelain Veneers 

This cosmetic dentistry treatment process is typically completed in two to three appointments, though we also offer same-day veneers that can be placed in a single visit.
Veneers can quickly upgrade your smile, concealing flaws like chips, cracks, discoloration, and misalignment.
Veneers can quickly upgrade your smile, concealing flaws like chips, cracks, discoloration, and misalignment.

Planning

During a consultation, Dr. Goodman will discuss your cosmetic goals and make recommendations for your treatment. You can work together to pinpoint the size and shape of veneers that will create your new smile. We can use photos and a lab-fabricated diagnostic wax-up to show how the porcelain can reshape and resize the smile.

Preparation

To prepare your teeth for veneers, your dentist will gently remove a layer of enamel from the targeted teeth, and then take an impression. This mold will be used to craft your customized porcelain veneers at our laboratory. This takes about a week or two, so it may be necessary to provide you with temporary veneers to protect your teeth in the meantime.

Placement

Soon, your customized veneers will be ready and it will be time to return to our Kansas City office to have them placed. Each veneer is carefully bonded to the tooth with a special adhesive. Before curing the adhesive with a light, Dr. Goodman will make sure the veneers fit comfortably and harmoniously with your smile.

Preparing the Tooth and Attaching the Veneer

Each treated tooth will typically need to have a small amount of enamel removed in order to ensure a natural-looking result.

Quick, Conservative Veneer Options

Dental patient looking at new smile with hand mirror

Minimal-Prep Restorations

Since traditional porcelain veneers require the removal of enamel, they are typically a permanent procedure. If you are concerned about permanently altering your teeth, need a quick cosmetic solution, or lack sufficient enamel to support the ceramic, we can offer minimal-prep veneers as an alternative that requires less commitment.

​Same-Day Veneers

If you want a quick way to transform your smile, same-day veneers offer dramatic results instantly. During treatment, composite resin is applied directly to the teeth and shaped to improve the symmetry and color of your smile. This treatment is not appropriate for severe cosmetic imperfections, but it can conceal minor issues.

Aftercare and Maintenance

Recovery

There is no significant recovery time associated with porcelain veneers. Most patients return to their normal activities immediately after treatment. However, you may experience some dental sensitivity for a short period of time. We recommend avoiding very hot or cold foods, as well as chewy, hard, or crunchy foods for about a week or until the sensitivity wears off.

How Long Do Dental Veneers Last?

With proper care, your veneers can last up to 10 years. Same-day composite resin veneers are less durable, and last between four and eight years on average.

How Can I Prolong the
Lifespan of My Veneers?

Maintaining good oral hygiene can help extend the longevity of your porcelain veneers. While the porcelain itself is not subject to decay or disease, the underlying teeth are, so it is important to brush the teeth and porcelain prosthetic at least twice a day and floss daily. Visit our Kansas City, MO, office for regular cleanings and exams

Additionally, you can protect your veneers by avoiding habits such as nail biting, chewing ice, and opening packages with your teeth. Minimizing the consumption of stain-producing substances, including coffee, tea, wine, berries, soy sauce, and tomato sauce, can help maintain the overall color of your smile, as well.

Read What Our Patients Have to Say

1

Melissa Murphy-Young

Kansas City, MO

2024

Google logo

I have the biggest fear of going to the dentist. I have it. However, Dr.Goodman and the hygienist Tina are helping me overcome my fear. Everyone here is very nice. I can tell they genuinely care about my health.

View on Google
1

Peter Mitchell

Kansas City, MO

2023

Google logo

Moved here from Chicago and very happy Dr. Goodman was the first dentist I saw here in KC. The staff was super friendly, communicated well, and didn’t try to upsell or do any unnecessary work. I really felt like the center of care

View on Google
John P. Goodman, DDS

John P. Goodman, DDS We Give Kansas City a Reason to Smile!

Dr. John Goodman has more than two decades of experience serving the community of Kansas City, MO. He offers a comprehensive range of services to address all types of dental problems, and he accepts CareCredit® financing to make treatment as accessible as possible. 

To request a consultation, please fill out our online form or call us at (816) 842-8585.

Contact Us Today

Contact Us

Fields With Are Required
You can also call us at (816) 842-8585. This site is protected by reCAPTCHA and the Google Privacy Policy and Terms of Service apply.
"My experience with Dr. John Goodman DDS was outstanding. The entire staff was courteous and very accommodating. Dr. Goodman made me feel very comfortable but also finally gave me hope for having that "beautiful smile" that we (with not so good teeth) always wish for. I left feeling elated and excited for the first time about a dental appointment."

Rate, Review & Explore

Social Accounts Sprite
?